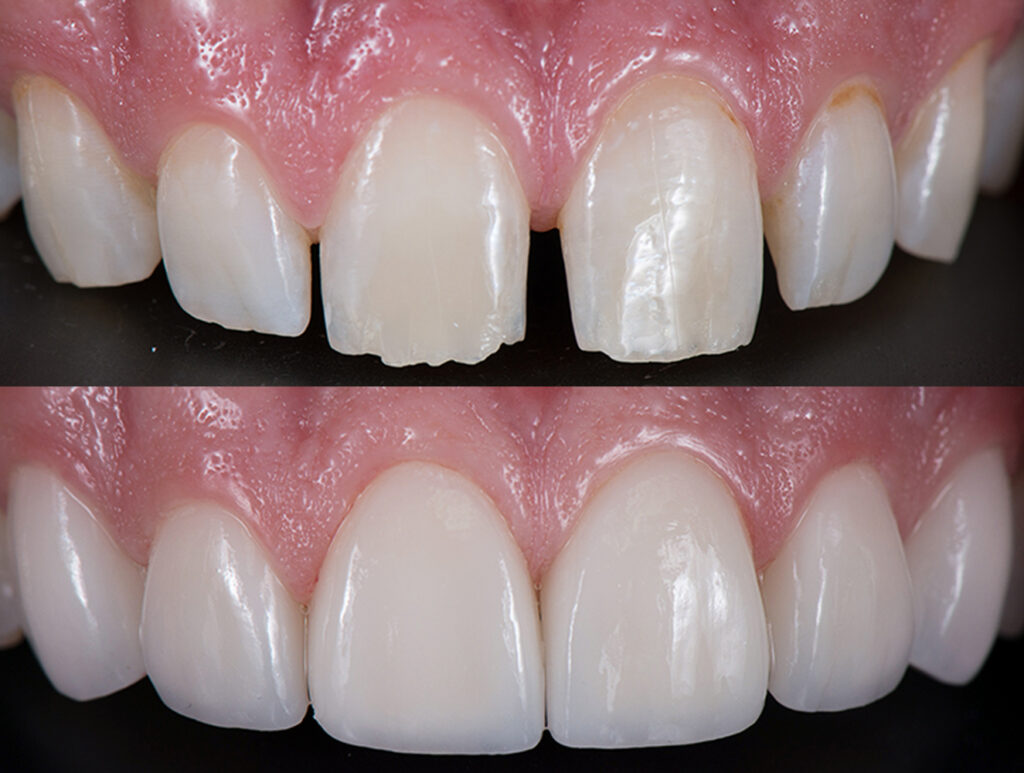
At our practice, we offer veneers as a popular option to conceal imperfections in your smile. Not only do veneers look exceptionally tooth-like, but they are also highly durable and stain-resistant.
Similar to false nails, veneers are placed over the front surface of your tooth and are held in place with a strong adhesive. The light-reflecting capabilities of porcelain veneers mean they are able to mimic the appearance of a genuine tooth. You can choose any shade you like for your veneers, whether that be a natural-looking shade or a brighter “Hollywood” white.

In addition to covering chips, cracks, stains, and minor fractures, veneers can also effectively straighten teeth by addressing gaps, symmetry and improving alignment. The 10-15 year lifespan of veneers makes them a highly attractive option for patients seeking a long-term solution to cosmetic dental issues.